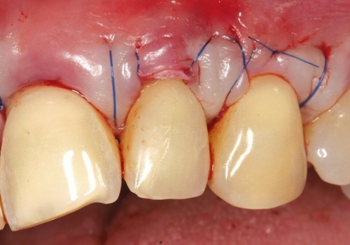
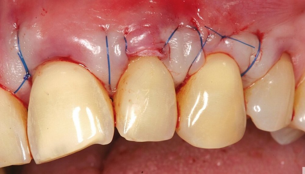
Diş əti köçürülməsi (auqmentasiyası)
Diş əti köçürülməsi (auqmentasiyası) ağız boşluğu cərrahiyyəsində tez-tez tətbiq edilən vacib cərrahi prosedurlardan biridir. Bu cərrahi prosedurun əsas məqsədi nazik, yetərsiz diş əti durumunu yaxşılaşdırmaq (qalınlaşdırmaq həcmləndirməkdir) və bərpa etməkdir. Diş əti köçürülməsi dişəti çəkilmələrinə bağlı ortaya çıxan estetik məhdudiyyətin cərrahi korreksiyası zamanı uğurla tətbiq edilir. Bu zaman müvafiq bərpa metodunun tətbiqi ilə həm diş əti çəkilməsi bərpa edilir həm də incə, zədələnməyə erkən məruz qalan diş əti qalınlaşdırılaraq daha dayanıqlı hala gətirilir. Bu isə gələcəkdə eyni problemin residiv (təkrarlanma) ehtimalını azaldır.
Bununla yanaşı bu metod implant cərrahiyyəsi çərçivəsində, implantətrafı diş ətinin yetərli həcm və qalınlığa gətirilməsi üçün uğurla tətbiq edilir. Sağlam, yetərli qalınlıqda implantətrafı diş əti isə implantların uzunmüddətliliyinin əsas meyarlarından sayıla bilər. Diş əti köçürülməsi, eyni zamanda diş çəkimi, travma və s səbəblərdən estetik bölgədə meydana çıxan qüsurların bərpası məqsədilə də uğurla tətbiq edilir.
Metodun tətbiqi üçün gərəkli toxuma (köçürüləcək diş əti) əsasən sərt damaqdan, bəzən isə yuxarı çənə 8-ci diş ətrafından müvafiq qaydada götürülür. Eyni zamanda xüsusi qaydada hazırlanmış yumuşaq toxuma əvəzləyici vasitələr də mövcuddur ki, onlar da bu məqsədlə tətbiq oluna bilir. Bu materialların əsas üstünlüyü pasiyentdən heç bir toxuma qrefti götürülmədən bu əməliyyatın icrasını mümkün etməsidir.









