Dental implantologiya
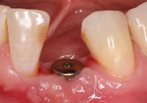
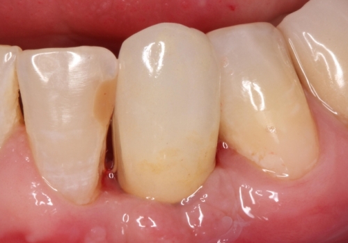
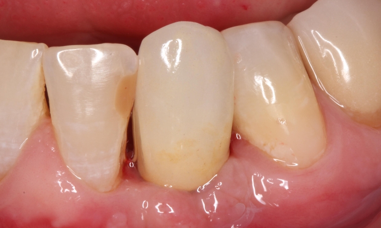
Stomatologiyanın təməl vəzifələrindən biri, itirilmiş dişlərin funksiya və estetik olaraq təbiiyə ən yaxın şəkildə bərpa edə bilməkdir. Dişsizliyin estetik və funksional olaraq yüksək səviyyədə reabilitasiyası, pasiyentlərin çeynəmə, danışma və gülmə kimi funksiyalarını qüsursuz icra edə bilməsi baxımından çox önəmlidir. Diş implantları xüsusi texnologiya hazırlanaraq, itirilmiş dişin bərpası üçün tətbiq edilən süni diş kökləridir. Bu metod təbiiyə ən yaxın bərpanı vəd edən müalicə metodu kimi uzun illərdən bəri beynəlxalq miqyasda geniş tətbiq olunur. İmplantasiya, bu işin peşəkarı yüksək ixtisaslı mütəxəssis tərəfindən qısa bir müddət davam edən prosedur vasitəsilə ağrısız, qısa müddətə və həyati funksiyaların məhdudlaşmaması şərti ilə həyata keçirilən müalicə üsuludur.
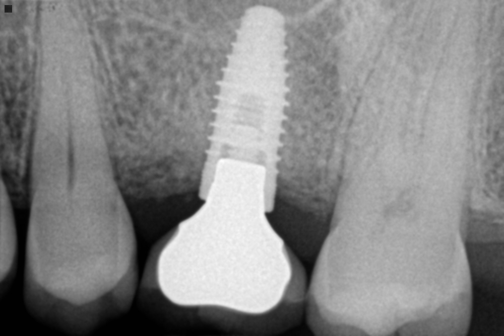
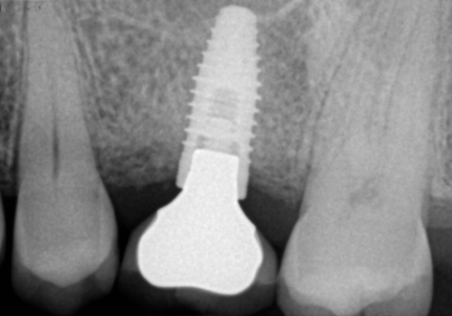
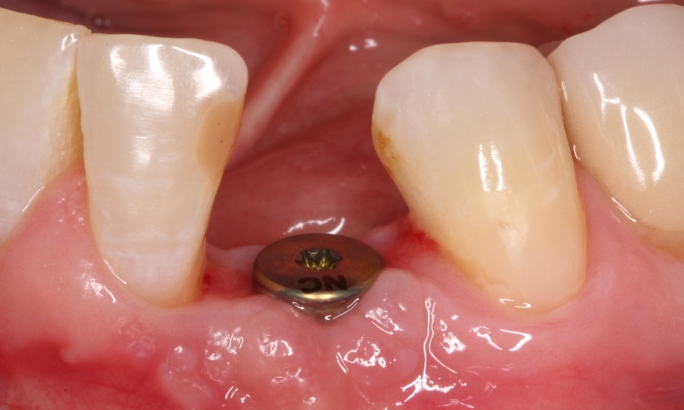
Dental implantlar əsasən titandan hazırlanır. Bu materialdan hazırlanmasının ən başlıca səbəbləri, bu metalın orqanizm tərəfindən rədd edilməməsi, heç bir allergik reaksiyaya səbəb olmaması və bu təyinat üçün yetərli möhkəmliyinin olmasıdır. Diş implantları vasitəsilə, tək diş əksikliyindən, çoxsaylı diş əksikliyi və tam dişsizlik halları funksional və estetik bərpa edilə bilir. İmplantın üzərinə hazırlanan diş konstruksiyaları müvafiq vəziyyətlərdə implantların tətbiqi ilə eyni gündə və ya müəyyən bir sağalma dövrünün keçməsindən sonra hazırlana bilir. İmplantların istismar müddəti, doğru planlama və icraat həyata keçirildiyində, eyni zamanda yetərli gigiyenik qulluq şəraitində bir neçə on illik bir periyodu əhatə edə bilir.







