Diş tacının cərrahi uzadılması
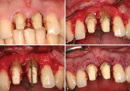
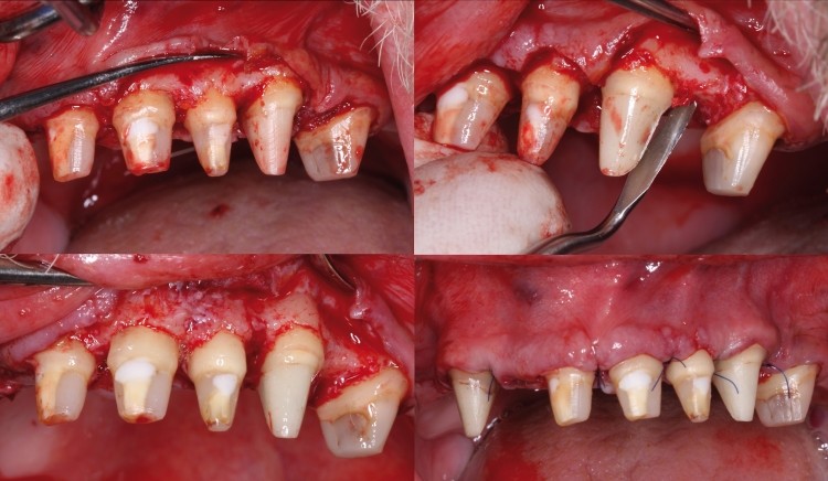
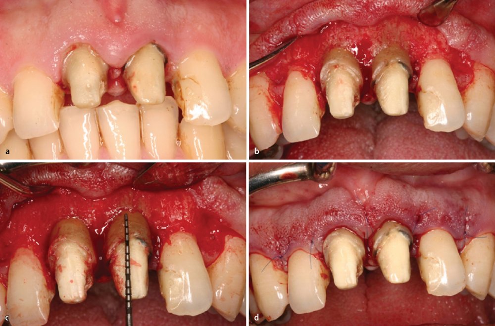
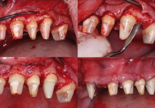
Diş tacının cərrahi uzadılması müxtəlif kliniki hallarda müxtəlif məqsədlərlə tətbiq edilən cərrahi müalicə prosedurudur. Bu metod estetik stomatologiyada “Gummy smile” (diş əti gülüşü) olaraq adlandırılan durumun ortadan qaldırılması məqsədilə geniş tətbiq olunur. Bu zaman kliniki hala bağlı olaraq bəzən yalnız diş əti, bəzən isə həm diş əti həm də sümükdən müəyyən miqdarda rezeksiya edilməklə (kəsilməklə) diş və diş ətinin estetik cəhətdən ideal görünüşü əldə olunur.
Bundan başqa, travma, ciddi karioz zədələnmə, normadan artıq preparasiya (diş yonulması) və s. nəticəsində diş tacının böyük ölçüdə dağılması zamanı bu dişlərin üzərinə qapaq, körpü konstruksiyalarının hazırlanması və ya bu dişlərin çıxan diş konstruksiyaları üçün (məsələn: teleskopprotezlər) fiksasiya elementi olaraq hazırlanması mümkün olmur. Buna səbəb diş toxumasının normadan artıq dağılmasıdır. Bu zaman tətbiq edilən metodlardan ən başlıcası diş tacının cərrahi uzadılmasıdır. Bu metodun tətbiqi ilə sümük müəyyən miqdarda uzaqlaşdırılaraq dişin tac hissesi uzadılmış olur. Nəticədə protetik olaraq yararsız diş yararlı duruma gətirilir.








