Odontogenik kist və tumorların, kistəbənzər törəmələrin cərrahiyyəsi
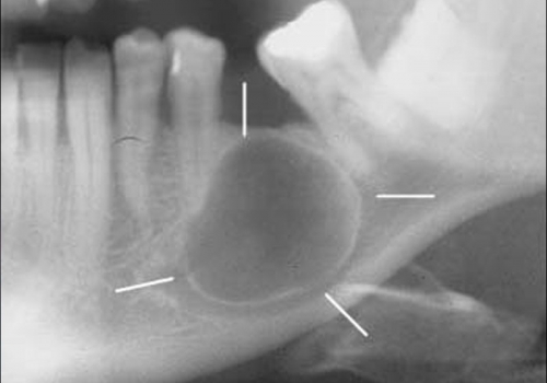
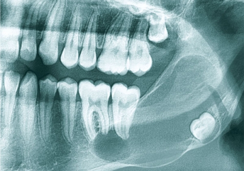
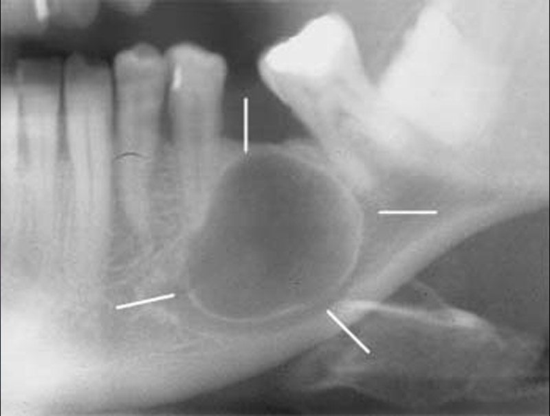
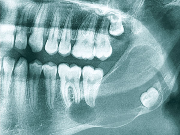
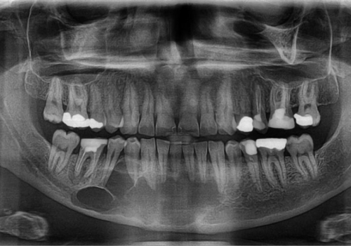
Odontogenik kistlər çənədə ən çox rast gəlinən törəmələrdən olub, başlanğıcını diş orqanından götürür. Bu törəmələr epitel hüceyrə qatı ilə döşənmiş zarla əhatə olunmuş, daxilində isə spesifik maye yerləşən kisəni xatırladırlar. Odontogenik kistlər ya xroniki iltihab nəticəsində ya da inkşaf anomaliyası nəticəsində yarana bilir.
İnkşafı və böyüməsi tədricən baş verdiyindən, bu proses pasiyent tərəfindən demək olar ki hiss edilmir. Yalnız törəmənin ciddi ölçülərə çatması nəticəsində və ya iltihablanması nəticəsində meydana çıxan kliniki əlamətlər nəticəsində aşkarlanır. Əksər hallarda isə çəkilən diş və çənə rentgen şəkillərində təsadüfən rast gəlinir.
Törəmələrin müalicəsi onun növünə, yerləşməsinə, ölçüsünə, pasiyentin yaş və sağlamlıq durumuna görə seçilir və icra olunur. Müalicə prinsipi bütün hallarda nəticə etibarilə, törəmənin kənarlaşdırılmasına əsaslanır. Müalicə çox zaman yerli ağrısızlaşdırma altında bəzən isə (məsələn, böyük ölçülü kistlərin müalicəsində) ümumi ağrısızlaşdırma altında aparılır. Müalicənin gecikdirilməsi və ya təxirə salınması kistlərin daha da böyüməsinə, nəticədə ciddi miqdarda sümük itkisinə səbəb olur. Müalicənin natamam aparılması leziyonun yenidən təkrarlanmasına (residiv) səbəb ola bilir.









