Kariesin müalicəsi/ kompozit restavrasiya
Karies müalicəsi, diş həkimliyində geniş yayılmış bir prosesdir və çürüyün erkən mərhələlərdə müalicə edilməsi, dişin sağlamlığını qorumaq üçün əhəmiyyətlidir. Çürük, diş minasının turşu təsiri ilə zəifləyərək zədələnməsi nəticəsində yaranan bakteriyaların səbəb olduğu xəstəlikdir. Müalicə edilməsə, çürüklər dişin daha dərin təbəqələrinə gedə bilər və ciddi ağrıya, kökətrafı bölgədə infeksiyaya və son nəticədə dişin itirilməsinə səbəb ola bilərlər.

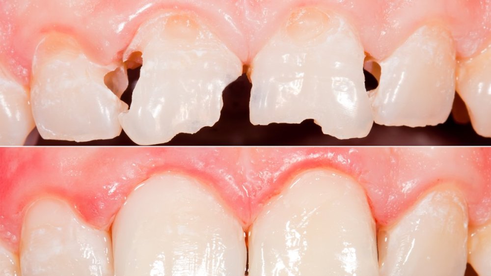
Direkt kompozit bərpa, çürük müalicəsində tez-tez istifadə olunan bir metodtur. Bu metodda, çürüyün olduğu bölmə təmizlənir və daha sonra xüsusi bir kompozit materialı ilə hermetik doldurulur. Kompozit dişin rənginə uyğun seçilə və formasına uyğun formalaşdırıla bilər, beləliklə təbii bir görünüş əldə oluna bilər.

Kompozit bərpalar, dişin sağlam toxumasını qoruyarkən çürükdən zədələnmiş hissələri təmir etməyə kömək edir. Bundan başqa, çürüklə zədələnmiş dişin görünüşünü yaxşılaşdırır və dişin funksionallığını bərpa edir. Bu metodda dişin müalicəsi tək müalicə seansında tamamlana bilir və xəstələrin ağrı şikayətləri və ya estetik çatışmazlığa bağlı narahatlıqları qısa bir zamanda aradan qaldırıla bilər.

Çürüklərin direkt kompozit vasitəsilə bərpası, diş həkimləri tərəfindən ən çox istifadə olunan metodlardandır. Lakin, hər bir xəstə və vəziyyət fərqlidir, buna görə də uyğun müalicənin hansı olduğunu müəyyənləşdirmək üçün bir diş hekimi ilə danışmaq vacibdir. Erkən mərhələdə müalicə olunan çürüklər, dişin sağlamlığını qorumaq və daha ciddi problemlərin qarşısını almaq üçün əhəmiyyətlidir.



