Dental travmatologiya
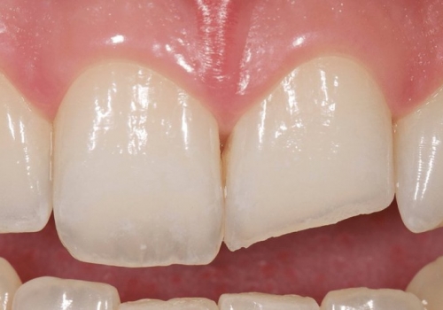
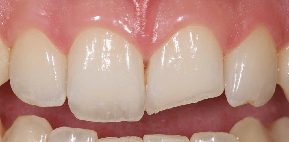
Daimi dişlərin travmatik zədələnmələri uşaq və yeniyetməlik dövründə olan şəxslərdə çox tez-tez rast gəlinir. Tac qırılmaları və lüksasiya travmalar içərisində ən çox rast gəlinənlərdir. Ancaq müxtəlif kliniki hallarda digər zədələnmə formaları da aşkar edilə bilir.
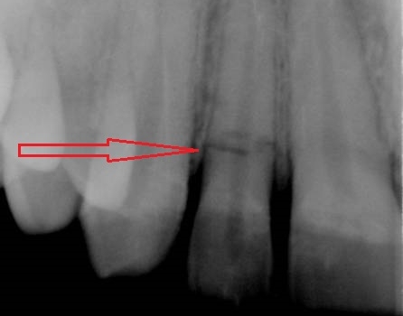
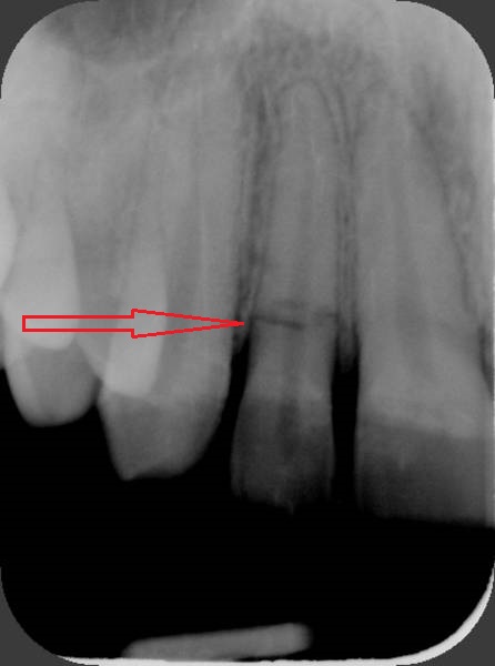
Doğru diaqnostika, müalicə planlaması və sonrakı dönəmdə izləmə uğurlu müalicəyə aparan ən başlıca faktorlardır. Diş travmaları və yaralanmaları tək diş bölgəsini əhatə edən məhdud, eyni zamanda çoxsaylı diş bölgəsini və çənənin alveol darağını əhatə edəcək qədər yayılmış formada rast gəlinə bilir. Çoxsaylı diş zədələnmələrində çox zaman fərqli dişlərdə fərqli növ zədələnmə şəkili aşkar edilə bilir ki, bu da hər bir dişə individual yanaşma və müalicə metodu tələb edir.
Bu tip zədələnmələrin bu sahədə təcrübəsi olan yüksək ixtisaslı həkim tərəfindən həyata keçirilməsi olduqca önəmlidir. Əks təqdirdə yalnış müalicə dişlərin erkən itirilməsinə səbəb ola bilir. Doğru yanaşma ilə isə ciddi zədələnmələrdən sonra belə zədələnmiş dişləri bəzən müəyyən bir müddətə bəzən isə həmişəlik bərpa etmək mümkün olur.









