Parodontit
Parodontit, bütünlükdə parodont olaraq bilinən diş köklərini əhatə edən, dəstəkləyən və diş yuvasına fiksə edən xüsusi toxumaların, bağ aparatının və sümüyün iltihabıdır. Parodontit diş əti iltihabının gingivitdən sonrakı ikinci mərhələsi olub, gingivitdən fərqli olaraq müalicə edilmədiyində geri dönməyən degenerativ dəyişikliklərə, diş və onu əhatə edən sümük toxumasının itirilməsinə gətirib çıxara bilir. Parodontitin yaranma səbəbi bakterial plakdır. Lakin xəstəliyin inkişafında bir sıra yerli və ümumi faktorlar da rol oynaya bilir.
Ümumi faktorlara, müalicə edilməyən I tip diabetes mellitus (şəkərli diabet), tütün istifadəsi, stress, depressiya, hormonal faktor, genetik faktor, bəzi ağır xəstəliklər (məsələn: AİDS və s.) və s. aid edilə bilər.


Yerli faktorlara isə dişlərin yerləşmə anomaliyaları, dişləmdə qüsur, okkluzal travma/dişlərin artıq yüklənmə durumu, doğru hazırlanmamış qapaq/körpü konstruksiyası və ya kompozit restavrasiya və s. misal göstərilə bilər.
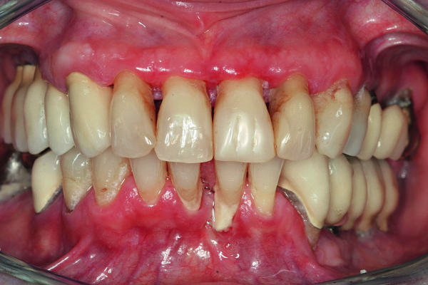
Parodontit tədricən dişətrafı sümük toxumasının itirilməsinə və bakterial plakın daha dərin təbəqələrə keçməsi ilə birlikdə ciddi dərinliklərə çatan sümük defektlərinin (və ya ciblərinin) yaranmasına gətirib çıxarır. Sümük toxumasının itkisi müəyyən bir zaman sonra dişlərdə ciddi hərəkətliliyin yaranmasına və qısa bir müddət sonra itirilməsinə gətirib çıxara bilir.
Parodontitin əsas əlamətləri bunlardır:
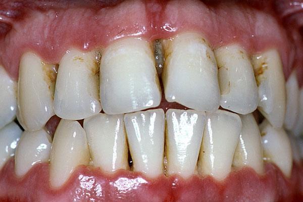
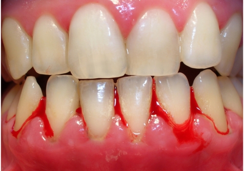
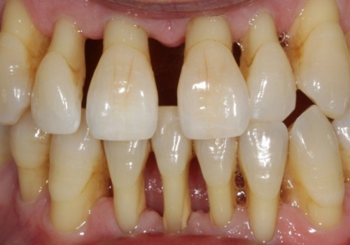
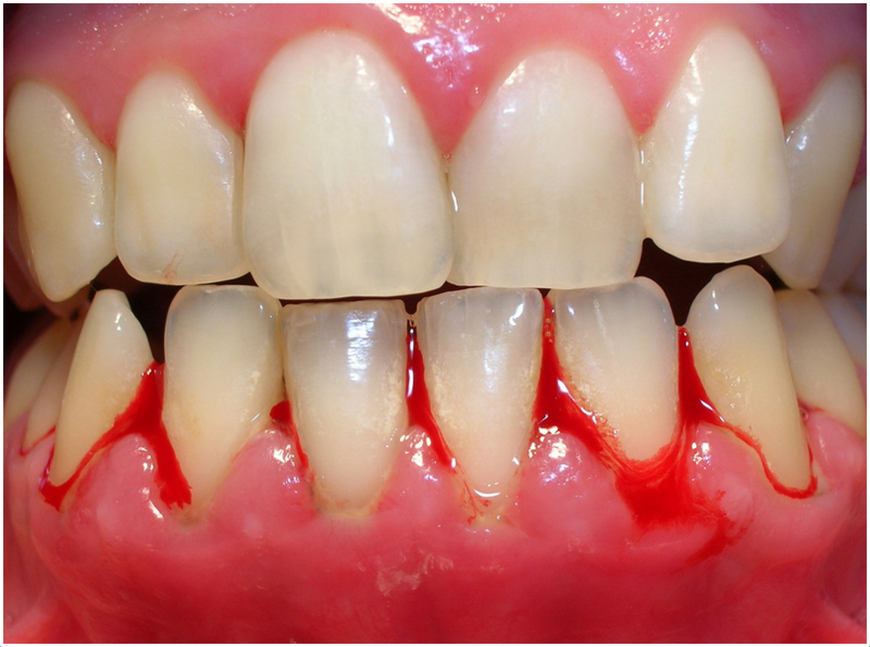
- Diş ətində şişkinlik və qızartı
- Diş ətində qanamağa meyllilik
- Dişlərin laxlaması
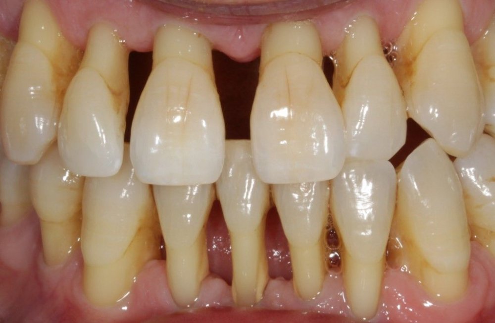
- Diş ətlərində çəkilmə
- Ağız qoxusu
Parodontitin müalicəsi bu sahənin mütəxəssisi tərəfindən həyata keçirilməlidir. Diaqnozun təyin olunması, ağırlıq dərəcəsinin müəyyən edilməsi və risk faktorlarının aşkar olunmasından sonra müalicə prosesi həyata keçirilir. Parodontitin müalicəsində konservativ, cərrahi və medikamentoz müdaxilə vasitələri müvafiq ardıcıllıq və ya kombinasiyada tətbiq edilir. Parodontitin müalicəsi çox zaman tək bir və ya bir neçə müdaxilənin icrası ilə məhdudlaşmayıb, pasiyentdən uzun bir dönəmi əhatə edəcək baxım, qayğı və qulluq tələb edir. Bunların pasiyent tərəfindən aparılması prinsipləri və instruksiyası xəstəliyin müalicəsini aparan parodontoloq tərəfindən verilir və müvafiq zaman intervalında nəzarətdə saxlanılır.









