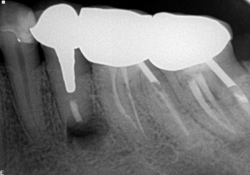
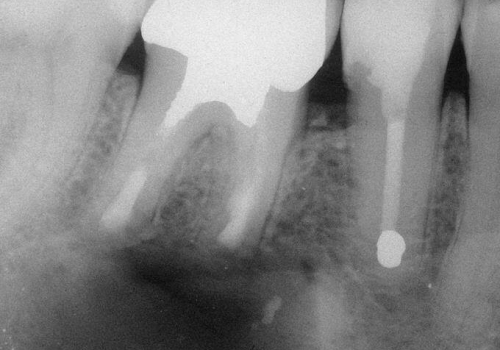
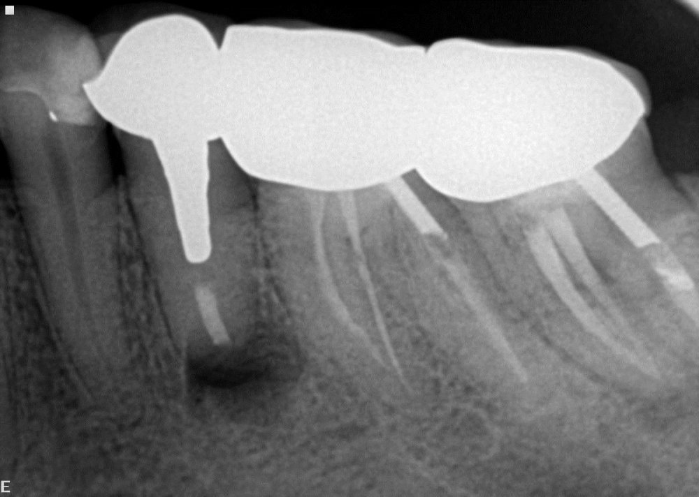
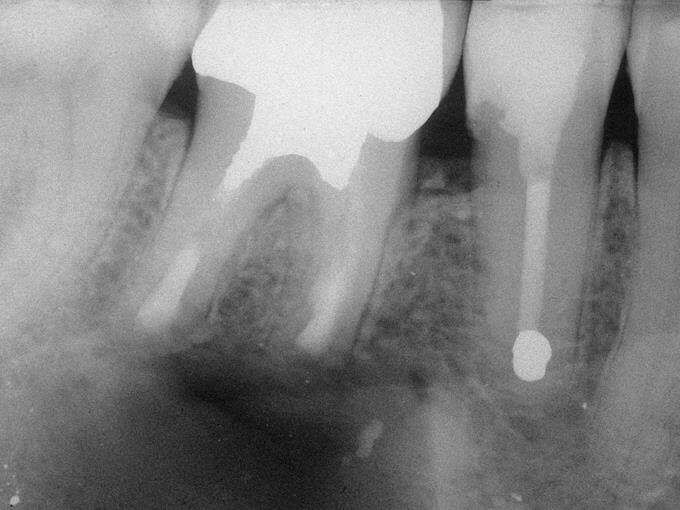
Endodontik cərrahiyyə (Diş kökü rezeksiyası)
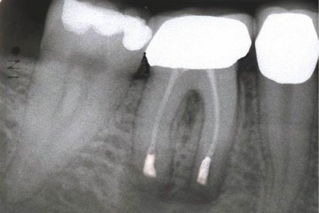
Endodontik müalicə (kanal müalicəsi) həyata keçirilən dişlərdə, kök kanallarının mürəkkəb konfiqurasiyası, yalnış və ya yetərsiz müalicə metodunun tətbiqi, bəzən də həkim səhvi/ehtiyatsızlığına bağlı olaraq təkrar iltihablanma – apikal ostit meydana çıxa bilir. Çox zaman bu tip iltihabi proseslər kliniki olaraq şikayətlərə səbəb olmadığından, zaman keçdikcə miqyasını genişləndirərək iltihab mənşəli odontogenik kistlərin yaranmasına gətirib çıxarır.
Bu zaman bəzi hallarda kanal müalicəsinin yenidən icrası (endodontik reviziya) mümkün olsa da, bir çox hallarda bu və ya digər səbəbdən həyata keçirilməsi mümkün olmur. Bu zaman əsas tətbiq edilən müalicə metodu dişi çəkməmək şərti ilə, iltihab ocağının uzaqlaşdırılmasını təmin edən – diş kökünün rezeksiyası metodudur. Bu əməliyyat vasitəsilə iltihab ocağı diş kökü ilə birlikdə kənarlaşdırılır və kök kanalları xüsusi metodla yenidən işlənir və doldurulur. Əməliyyat əsasən yerli ağrısızlaşdırma altında, xüsusi böyüdücü vasitənin tətbiqi ilə həyata keçirilir.
Uğurla tətbiq edildiyi halda uzun illər ərzində uğur vəd edən bir müalicə metodudur. Bu əməliyyat ağıl dişləri və bəzi hallarda 7-ci dişlər (ikinci böyük azı dişləri) istisna olmaqla digər bütün dişlərdə uğurla həyata keçirilə bilir. Müalicə metodunun uzunmüddətli uğurlu olmasında əməliyyatönü müayinənin ciddi şəkildə aparılması və dişlərin doğru seleksiyası xüsusi əhəmiyyət kəsb edir.









