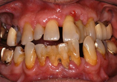
Parodontoloji rezektiv cərrahiyyə
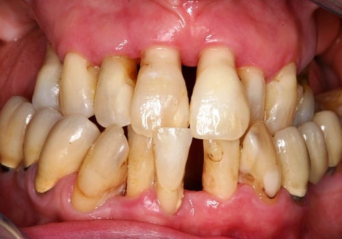
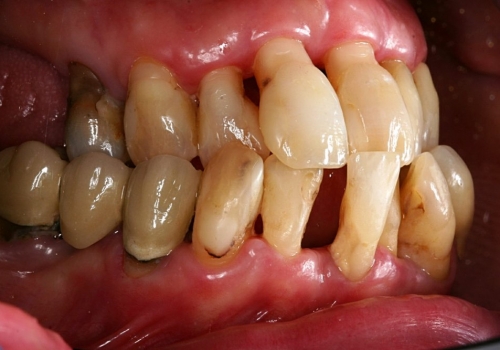
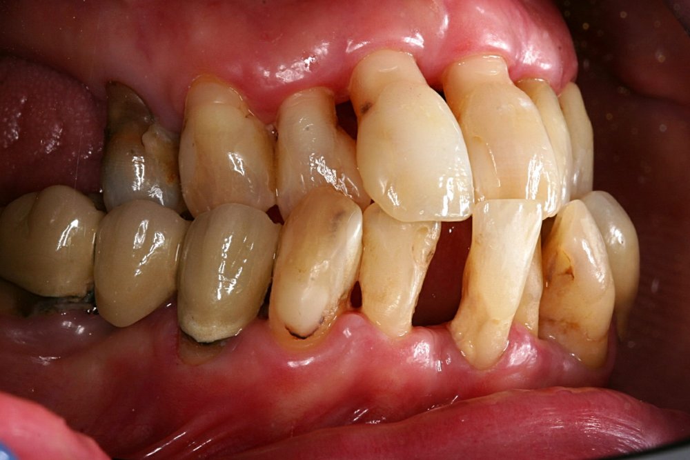
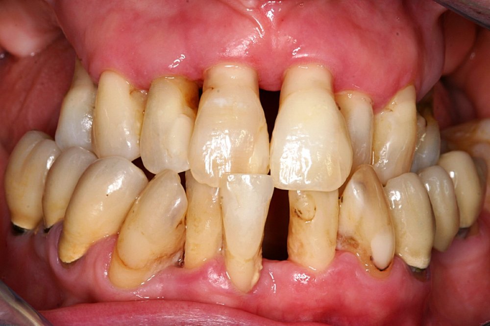
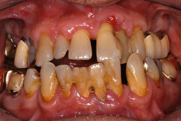
Qeyri-cərrahi parodontoloji müalicədən sonra bəzi hallarda, bu və ya digər bölgədə dərin parodontal ciblər (diş əti və sümük cibi) qalmaqda davam edir. Bu hallarda çox zaman müalicə cərrahi metodların tətbiqi ilə davam etdirilir. Bu zaman əsas məqsəd mövcud parodontal cibin bu və ya digər metodlarda aradan qaldırılmasını təmin etməkdir.
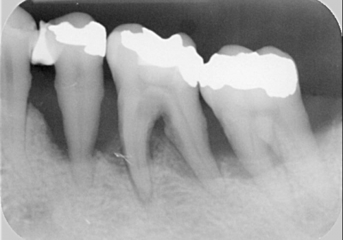
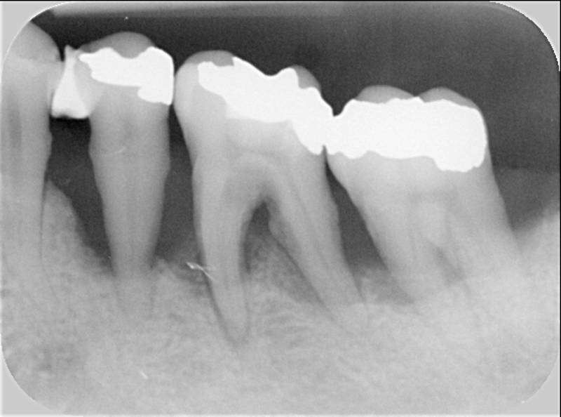
Çünki bu ciblər çox zaman pasiyent tərəfindən yetərincə təmizlənə bilmir. Bu isə həmin bölgəyə tədricən ərp və dolayısı ilə də bakteriya koloniyalarının toplanmasına səbəb olur. Bu proses yenidən yerli iltihabın ortaya çıxmasına səbəb olur. Tətbiq edilən cərrahi metodlar əsasən cibin yerləşdiyi diş bölgəsi, cibin eni, dərinliyi, konfiqurasiyası və s. xüsusiyyətlərə görə müəyyənləşdirilir. Bu zaman məqsəd mümkün olduqda həmin bölgədə bərpa prosedurunu həyata keçirmək, mümkün olmadıqda isə rezektiv müalicənin tətbiqi ilə həmin bölgəyə ərp toplanma ehtimalını azaltmaq və gigiyenik prosedurların icrasını pasiyent üçün rahatlaşdırmaqdır.
Rezektiv prosedurlar zamanı müəyyən miqdarda yumuşaq toxuma (diş əti), sərt toxuma (sümük) və ya kombinə olunmuş şəkildə (həm sümük, həm də yumuşaq toxuma) rezeksiya həyata keçirilir. Prosedur yerli ağrısızlaşdırma altında aparılır. Əməliyyatdan sonrakı dövrdə fərdi qulluq və gigiyena qaydalarının mötəxəssis tərəfindən izahı və müvafiq instruksiyanın verilməsi olduqca önəmlidir.









