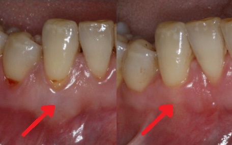
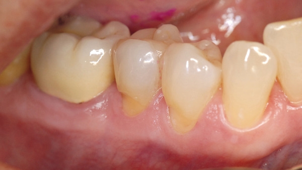
Diş əti çəkilmələrinin cərrahi müalicəsi
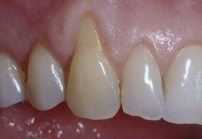
Estetik və bərpaedici diş əti cərrahiyyəsi diş ətlərində bu və ya digər səbəbdən meydana çıxan qüsurların və çatışmazlıqların bərpasını, eyni zamanda estetik məhdudiyyətin cərrahi metod və vasitələrlə ortadan qaldırılmasını təmin edən bir sahədir. Diş ətində meydana gələn qüsurlar dedikdə buraya əsasən dişəti çəkilmələri, diş ətində mövcud olan törəmələrin cərrahi müalicəsindən sonra və ya iatrogen səbəbdən ortaya çıxan qüsurlar nəzərdə tutulur.
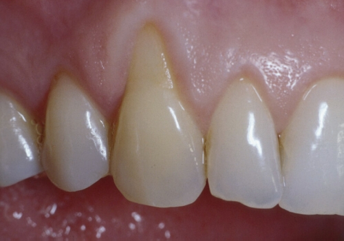
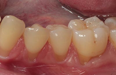
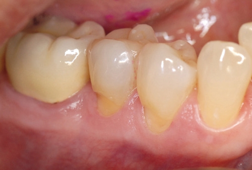
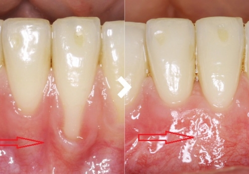
Diş əti çəkilmələri bu qüsurlar içərisində xüsusilə tez-tez rast gəlinəni olub, müxtəlif səbəblərdən meydana gələ bilir. Bu növ qüsurlar tək-tək dişlərdə müşahidə olunduğu kimi, çoxsaylı dişlərdə də müxtəlif ağırlıq dərəcələrində aşkar edilə bilir. Diş əti çəkilmələrinin cərrahi üsulla əksər hallarda tam, bəzən isə natamam bərpası mümkündür. Bu əsasən diş əti çəkilməsinin ağırlıq dərəcəsindən asılı olub, çox zaman öncədən proqnozlaşdırıla bilir.
Bəzən isə estetik diş əti cərrahiyyəsi vasitəsilə estetik məhdudiyyətin ortadan qaldırılması rezektiv müalicə metodu tələb edir. Bu zaman bəzən yalnız diş ətində, bəzən də diş əti ilə yanaşı həm də sümükdə müəyyən korreksiyalar aparmaqla estetik məhdudiyyət tam aradan qaldırıla bilir.











