Ağıl dişi
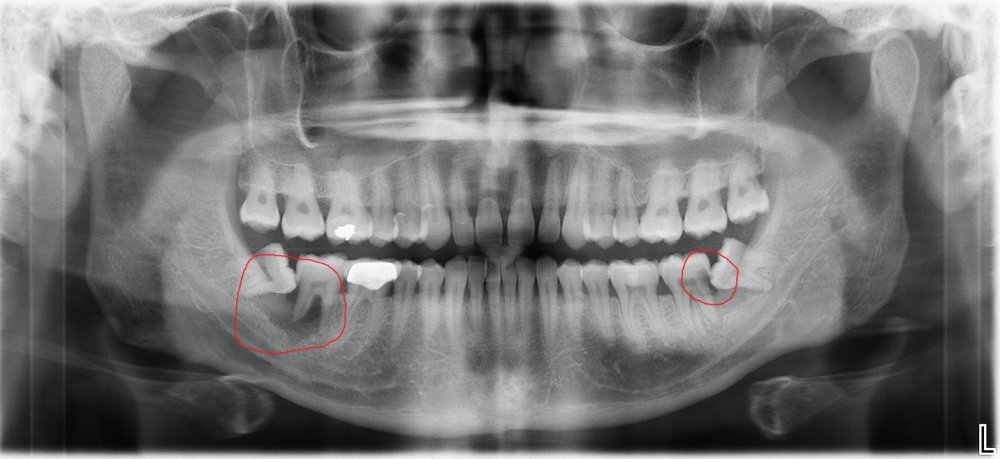
Üçüncü bözük azı dişləri və ya digər adı ilə ağıl dişləri daimi dişlər arasında ən gec çıxan dişlərdir. Əsasən 18-20 yaş arasındakı fərdlərdə çıxdıgına görə 20 yaş dişləri kimi də adlandırılır. Ancaq buna baxmayaraq bəzi hallarda 16 yaşında çıxa bildiyi kimi yüksək yaşı qrupundakı xüsusilə lövhəli çıxan protez istifadə edən şəxslərdə də çıxa bilər. Genetik faktorlara bağlı erkən çıxma halları ilə yanaşı, yerli faktorlara bağlı gec çıxma və ya çıxmama halları da müşahidə oluna bilir.
Normal halda insanın diş sırasında hər çənədə iki ədəd olmaqla, ümumilikdə dörd agıl dişi mövcuddur. Ağıl dişinin çıxması bəzi şəxslərdə heç bir kliniki əlamət və ya şikayətə səbəb olmasa da, bir çox hallarda müəyyən kliniki əlamətlərlə öyünü biruzə verir. Bu əlamətlər əsasən çənənin arxa tərəfində təzyiq, çənəni açıb baglama əsnasında agrı və məhdudlaşma kimi özünü göstərə bilir. Bu hallarda mütəxəssis konsultasiyasının önəmi olduqca böyükdür. Belə ki müayinə zamanı cərrah-stomatoloq kliniki və radioloji dəyərləndirmə apararaq dişin dogru pozisiyada yerləşib yerləşmədiyi, dişləmə çıxma ehtimalını, agıl dişinin çənəyə görə ölçüsü və çənə darlıgı kimi durumları dəyərləndirərək tətbiq edilməli olan müalicə taktikasını müəyyən edir.
Ağıl dişləri aşağıdakı hallarda çəkilməyə bilər:
- Ağıl dişi digər dişlər kimi nizamlı bir şekildə diş sırasında yerləşirsə və çeynəmə müstəvisində pillə təşkil etmirsə
- Dişin gigiyenik prosedurları (təmizlənməsi) heç bir məhdudiyyət yaranmadan həyata keçirilə bilirsə
- Ağıl dişinin mövcudluğu qonşu dişlərdə karies, parodontit, rezorbsiya və s. kimi halların yaranmasına zəmin yaratmırsa
- Ağıl dişi ətrafında hansısa bir patoloji törəmə mövcud deyilsə
- Retensiyon ağıl dişi tranplantasiya və ya ortodontik yolla itirilmiş digər bir dişin əvəzləyicisi ola bilərsə
Ağıl dişinin cərrahi çəkiminə göstərişlər isə aşağıdakılardır:
- Retensiyon ağıl dişinin spontan və ya ortodontik olaraq dişləmə çıxma ehtimalı mövcud deyilsə
- və eyni zamanda digər bir dişin əvəzləyicisi kimi istifadə olunmayacaqsa (transplantasiya və ya ortodontik)
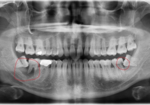
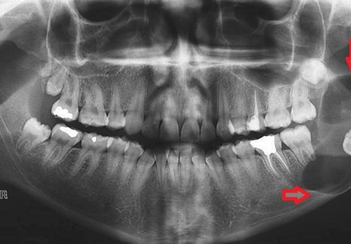
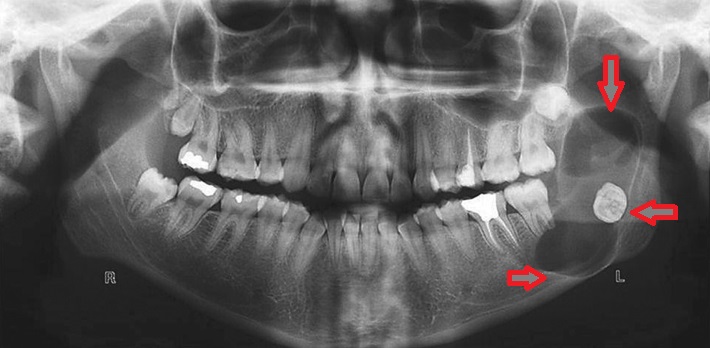
- Ağıl dişinin ətrafında iltihabi proses və ya xoş/bədxassəli törəmə mövcuddursa və prosesin müalicəsi ağıl dişinin çəkilməsini tələb edirsə
- Ağıl dişində ikincili yerləşmə deformasiyası varsa və bunun müalicəsi mümkün və ya tövsiyyəolunan deyilsə
- Ağıl dişi qonşu dişdə karies, sorulma, parodontal problemlər və s. yaradırsa
- Ağıl dişi qonşu dişin çıxmasına məhdudiyyət yaradırsa və diş sırasında deformasiyalara səbəb olursa
- Ağıl dişi ciddi gigiyenik məhdudiyyətə səbəbiyyət verirsə
- Bisfosfonat/Şüa və s. kimi terapiyaönü hazırlanma çərçivəsində
- Ağıl dişi sınıq xəttində yerləşirsə və həmin bölgəni iltihablandıra bilərsə
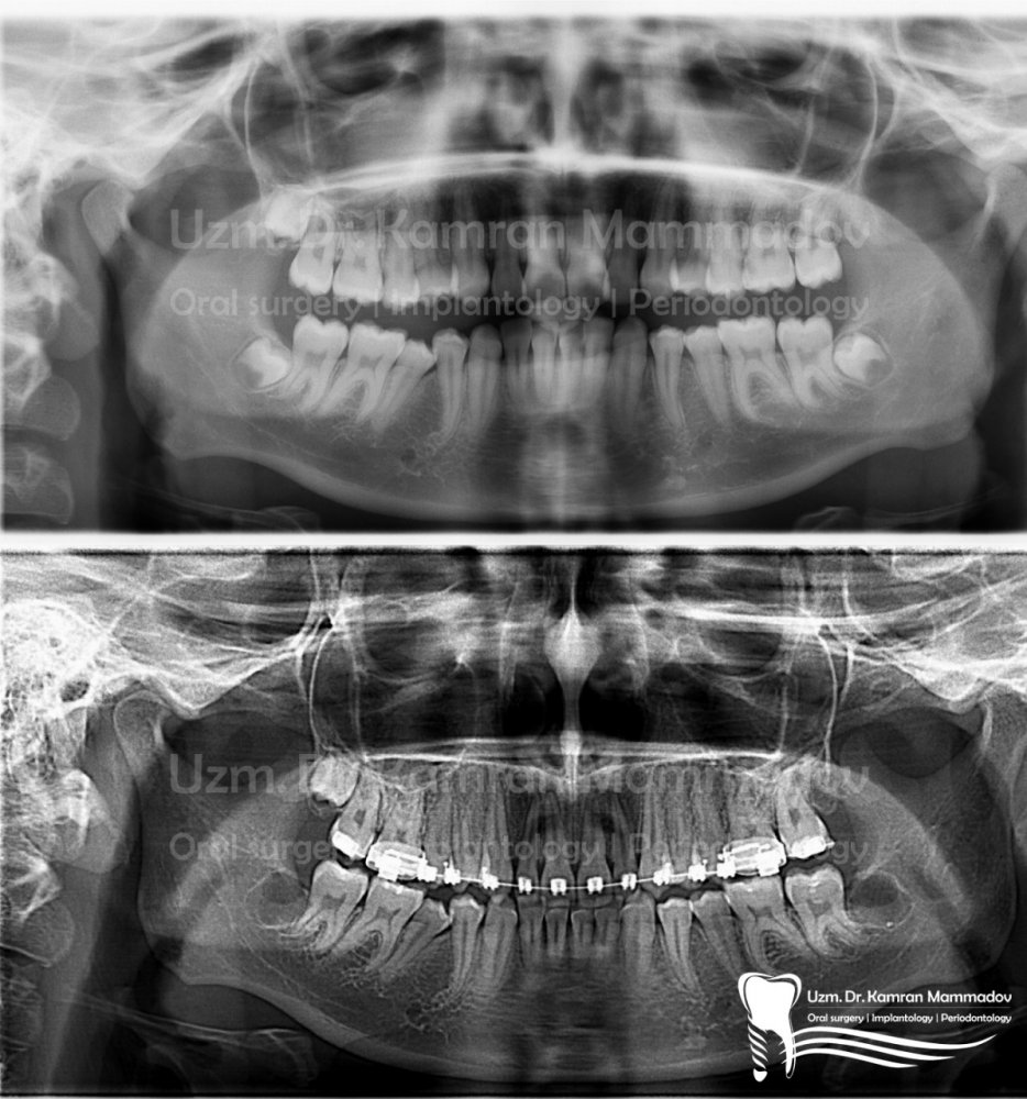
Ağıl dişinin cərrahi çəkimi ciddi bir əməliyyatdır və yüksək ixtisaslı mütəxəssis tərəfindən icra olunması tövsiyyə olunur. Buraxılacaq hər hansı bir səhv və ya səhlənkarlıq istər əməliyyatın icrası əsnasında, istərsə də əməliyyatdan sonraki dövrdə ciddi ağırlaşmalara səbəb ola bilər.










