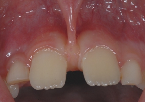
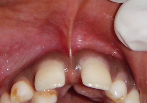
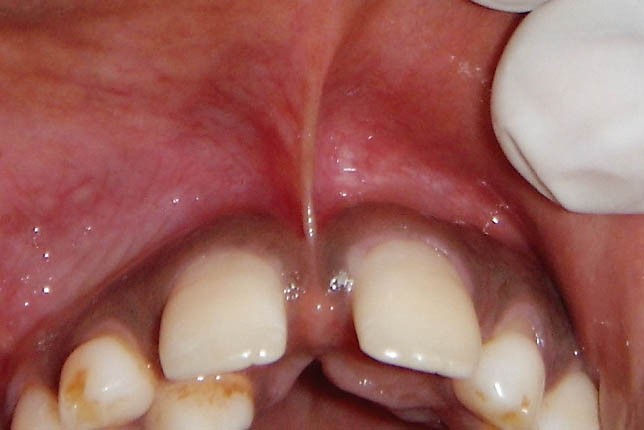
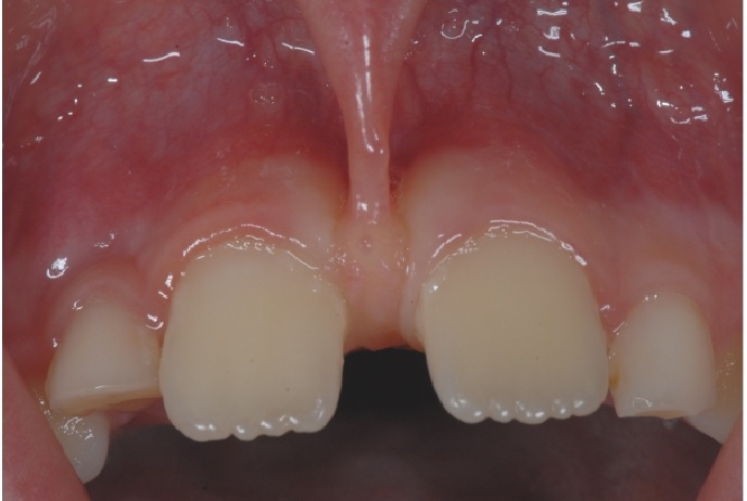
Frenektomiya
Frenulum (yüyən), diş əti toxuması (gingiva) ilə dil, dodaq və yanaq arasında yerləşən, toxumaları bir-birnə bağlayaraq hərəkətlərini sərhədləndirən yumuşaq selikli qişa toxumasıdır. Frenulum normal ölçülərdən böyük və qalın olduqda və ya diş əti kənarına yaxın yerləşdikdə bəzi narahatlıqlara və məhdudiyyətlətə səbəb ola bilir. Diş əti çəkilməsi, estetik məhdudiyyət, diastema, çıxan protez istifadə edən şəxslərdə protez fiksasiyasının məhdudlaşması və s. durumlar bununla bağlı ola bilir.
Sadalanan məhdudiyyətlərin ortadan qaldırılması və ya önünə keçilməsi məqsədilə frenulumun tamamən uzaqlaşdırılması (frenektomiya) həyata keçirilir. Bu prosedur həm ənənəvi cərrahi həm də lazer cərrahiyyəsi metodu ilə aparılır. Hansı metodun tətbiq edilməsi hər bir kliniki halda fərdi şəkildə qərara alınır.









