Protezönü cərrahiyyə
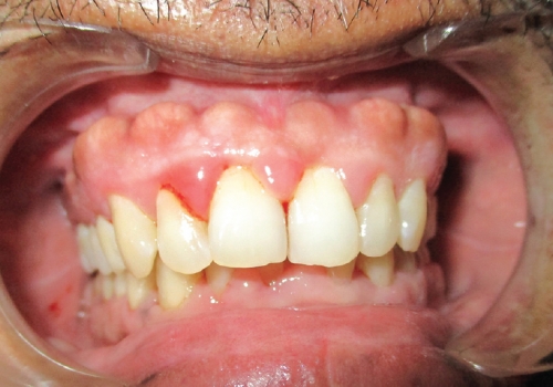
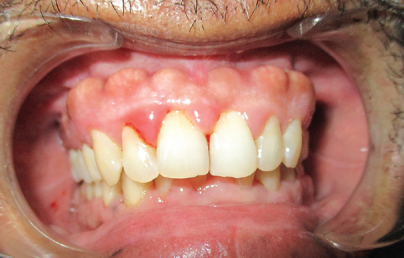
Oral cərrahiyyənin bu sahəsi çıxan protezlərlə müalicə planlaması çərçivəsində, bu protezlərin hazırlanması və gələcəkdə istifadəsinə məhdudiyyət yarada biləcək sərt və yumuşaq toxuma törəmələrinin cərrahi yolla aradan qaldırılmasıdır. Bu törəmələr anadangəlmə və sonradan qazanılmış ola bilir və cərrahi korreksiyası əksər hallarda yerli ağrısızlaşdırma altında uğurla həyata keçirilə bilir.
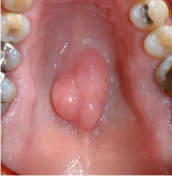
Protezönü sərt toxuma cərrahiyyəsi prosedurlarından ən çox tətbiq olunanı ekzostozların, damaq və mandibulyar torusun cərrahi olaraq uzaqlaşdırılması və korreksiyasıdır. Bu zaman protezin istifadəsinə məhdudiyyət yaradan iti sümük çıxıntıları və irihəcmli sümük törəmələri uzaqlaşdırılır.
Protezönü yumuşaq toxuma cərrahiyyəsi prosedurlarından isə ən çox icra olunanları dil, dodaq və yanaq yüyənlərinin korreksiyası, xoşxassəli yumuşaq toxumalarının kənarlaşdırılması, ağız dəhlizinin dərinləşdirilməsi (vestibulumplastika) və s. aid edilə bilər.









